¿Es posible volver a jugar al fútbol profesional tras una artroplastia de disco cervical?
Este es el título del estudio que el Dr. Raúl Zapata, residente de quinto año del Hospital Fraternidad-Muprespa Habana, ha presentado en el XIV Congreso de la Sociedad Española de Traumatología del Deporte, SETRADE, celebrado en Málaga los días 7 y 8 de abril. La comunicación defendida fue elaborada conjuntamente con el Dr. Tomás Losa, MIR R3, el Dr. Eduardo Hevia, traumatólogo de la unidad de Columna y el Dr. Fernando Ordoñez, jefe de la unidad de Columna.
El Congreso de SETRADE reúne a traumatólogos especializados en lesiones del deporte. Bajo el lema “Inestabilidad Articular y Deporte”, se ha desarrollado un interesante programa científico referido a las lesiones de la mayoría de las articulaciones, de la mano de un grupo de ponentes nacionales e internacionales de reconocido prestigio y líderes de opinión en sus respectivas facetas.
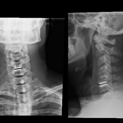
En la disertación el Dr. Zapata presentó el caso de un deportista profesional, jugador defensa central de un equipo de fútbol, que sufrió una hernia de disco cervical y fue tratada en el Hospital FM Habana con prótesis de disco.
La artroplastia de disco cervical puede ser una opción de tratamiento satisfactoria para deportistas con discopatía cervical, permitiendo una vuelta precoz y sin secuelas a la práctica deportiva, ya que es una técnica sin limitación de la movilidad.
Este tipo de cirugía permite la realización precoz de ejercicios y actividades, y no precisa de collarín postoperatorio.
En las conclusiones del caso, compartió los resultados con una recuperación completa en unas semanas, así como la rápida incorporación al equipo, manteniéndose activo y titular como defensa central. Tres años después continúa al mismo nivel sin complicaciones, confirmando el éxito del tratamiento.
